

Treatment Solution
This patient came to see me for a free consultation because she wanted to know her options. Her upper teeth were very loose & mobile, and they were on the verge of falling out. Her lower teeth were also quite loose. Unfortunately her top teeth were beyond saving. She was very concerned, as she didn’t want to be toothless. She wanted a fixed option, not something that she could take in and out (like a traditional denture). She was quite embarrassed to have false teeth, and although at the tender age of 75, she really wanted fixed teeth as she felt really conscious about her current situation.
She is very sociable and likes to go out for meals with her friends and see her family, but was feeling her loose teeth was knocking her confidence and really starting to negatively effect her life. After a thorough examination we went through some options with her, and she decided the best route for her, was to have fixed teeth on the top and to save the bottom teeth. We went through stages of assessments where we analysed her bone levels and analysed her gums before commencing her treatment plan.
The treatment took five months from start to finish. We initially started with removing her teeth and placing the implants, followed by fixing a temporary bridge (all on the same day!). This meant that she was not wearing a denture for anytime at all during this five month period.
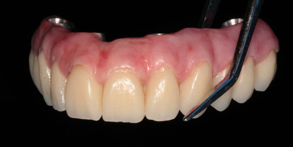
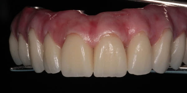
She had the temporary fixed bridge in for a period of 12 weeks while the gums healed. After the gums had healed, we then started construction of the permanent bridge, where we went through stages of designing the smile to suit the patients face. The patient confirmed she was very happy with the look of the new teeth before they were finally fitted. As you can see from the pictures, we have achieved a very aesthetically pleasing result.
She now feels that her life has significantly improved. She can enjoy going out with family and friends again, confident her smile won’t let her down. It has now been 3 months since the surgery and she is delighted with the result.

Claire’s New Teeth


