Bill & Nik Implant Journey

Treatment Solution

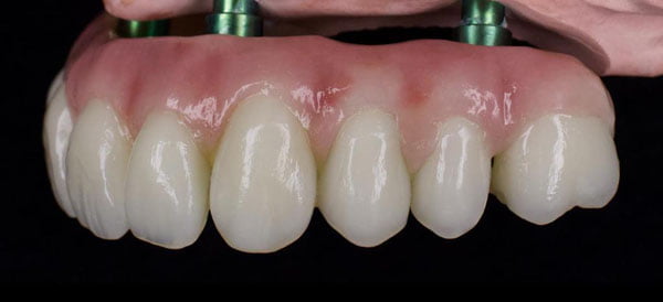
We transformed this gentleman’s smile, giving him the smile he always wanted. Going through all the stages of full arch dental treatment, we started with extractions and immediate placement of a bridge. And then 12 weeks later providing him with a permanent bridge made from a chrome framework with individual teeth.

Teamwork with the laboratory is key to achieving harmony & aesthetics.

Bill Implant Journey

Lab Work

Bills implants 1
Bill Implant 2
bill implant 3