Case Report: Smile Transformation for a Middle-Aged Patient with Failing Upper Bridgework
This case showcases the power of modern dentistry and dental implants to completely rejuvenate a smile, even in cases where failing bridgework and the fear of dentures once seemed insurmountable.
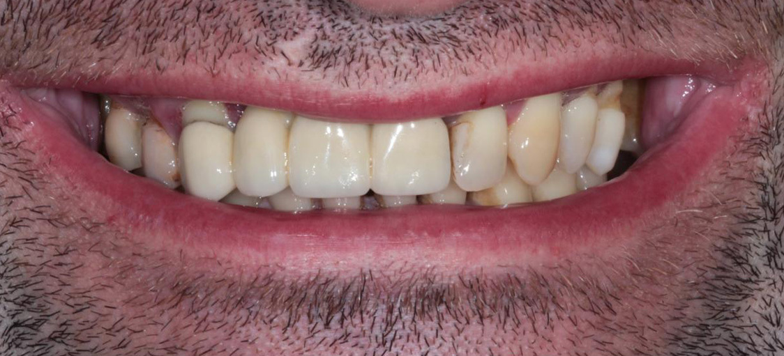
Patient Presentation
This patient, a middle-aged man, came to us with concerns about his failing upper bridgework. He was worried about the appearance of his smile and particularly anxious about the idea of having to wear a removable denture. His confidence had suffered, and he was seeking a fixed, reliable solution that would allow him to smile without hesitation.
Treatment Planning
After a comprehensive clinical and radiographic assessment, we identified that the existing teeth were failing and not strong enough to support any new bridgework. The prognosis for the upper dentition was poor. We discussed all available options with the patient, who was determined to avoid dentures and wanted a long-term, fixed solution.
Clinical Procedure
Extraction and Immediate Implant Placement (“Teeth-in-a-Day”)
We carefully removed the failing teeth and immediately placed multiple dental implants to support a new, fixed solution. On the same day, we provided a fixed temporary bridge, so the patient left with teeth that looked great and felt secure.
Digital Smile Design and Final Prosthetic Phase
After a healing period of 12 weeks, during which the implants integrated with the bone, we carried out a digital smile design to create the ideal final result. Digital dentistry allowed us to customise the proportions, shapes, and aesthetics of the final teeth to perfectly complement the patient’s facial features.
The final fixed implant-supported bridge was then fabricated from high-quality ceramic materials—giving the patient a vibrant, natural-looking smile with lifelike “fake teeth” that feel just like the real thing.
After Treatment
The transformation has been nothing short of remarkable. The patient’s new smile is bright, natural, and perfectly contoured, giving him the confidence to smile freely again.
He shared:
“For years, I felt so self-conscious about my smile and always worried that my bridge would fail in public. Now, I can’t stop smiling. I feel like a new person.”
“Dr. Oberai really listened to me and understood that I didn’t want dentures. He gave me a result I never thought possible—I’m so grateful.”
A Note from Dr. Nikhil Oberai
It’s always incredibly rewarding to see how a new smile can truly change a person’s outlook on life. My passion is to provide patients with more than just dental work—I want to give them the confidence to smile again and live life to the fullest.
Conclusion
This case highlights the power of implant-based rehabilitation and digital dentistry in transforming lives. By replacing failing teeth with a fixed, stable implant-supported solution, we were able to give this patient back his function, his confidence, and his radiant smile—proving that with the right approach, anything is possible.


